Ellettsville Dental Center
Dentistry in Ellettsville, Indiana

Dental Crowns and Veneers

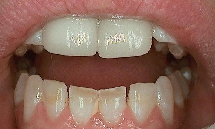
This dental patient arrived at our dental office in Bloomington, Indiana with severely worn lower teeth and poorly designed upper dental crowns. The dental crowns in Bloomington were replaced and conservative veneers covered the lower teeth. Do you think dental crowns or veneers would benefit your smile? Call Ellettsville Dental Center today to schedule your next dental visit with us.

Related Services:

Cosmetic Dentistry
Bloomington Dental Patient Veneers Testimonial
Ready to book an appointment?
If you have difficulty using our website, please email us or call us at (812) 876-7330
View the ADA Accessibility Statement