Ellettsville Dental Center
Dentistry in Ellettsville, Indiana

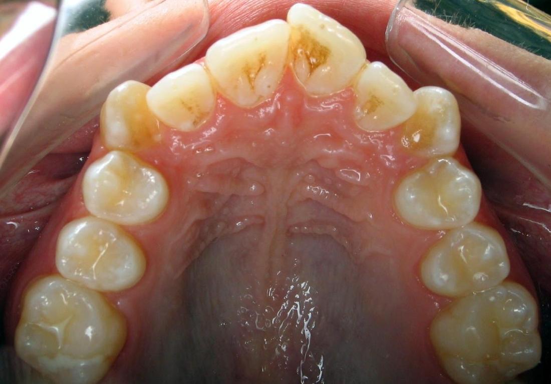
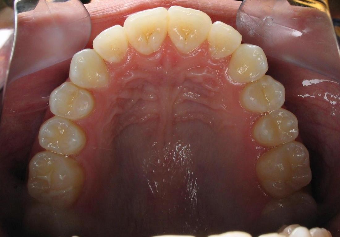
Align Your Smile With Orthodontics

This is an example of how functional appliances and braces can straighten teeth without having to pull any adult teeth. 

Lifelong Patient

Throughout my life I never took care of my teeth and that caused a lot of damage to them. When I first came to this office I was blown away by how respectful, kind, and caring everyone is here. No judgement at all from anyone about my teeth. No shaming me like other offices have in the past. This office is extremely clean and kept up very nicely (Inside and outside). Every appointment I have I always feel very comfortable and no anxiety.

Dr. Compton is hands down the best Dr. I've ever had. He's very experienced and knowledgeable in what he does. He takes time to answer any questions and address any concerns you may have. Never appears to be rushed when seeing you. Very gentle when working on your teeth. I always thought getting numbed was the worst part. With him you can't even feel it! When working on your teeth he doesn't leave you in the dark. He explains what he's doing step by step and every so often asks how you're doing. After any big procedure he'll call you that night to check on you to see how you're feeling. Dr. Compton is 100% the type of person that loves doing what he does and it really shows!

Ellettsville Dental Center.... You have earned a lifelong patient!

Austin Olesak

Ready to book an appointment?
If you have difficulty using our website, please email us or call us at (812) 876-7330
View the ADA Accessibility Statement