
Dental crowns in Bloomington, IN have several important tasks throughout dentistry. A crown can support a weak or damaged tooth, conceal flaws, and play a part in tooth replacement—anchoring a dental bridge or topping a dental implant.
A dental bridge in Bloomington, IN is a prosthetic that bridges the gap in your smile, restoring function, aesthetics, and contributing to improved oral health.
Quality Dental Crowns
If you’ve had root canal treatment or tooth trauma, your tooth is vulnerable to breakage. Your dentist typically recommends a dental crown to restore your bite and prevent this breakage. It is one way to save your tooth.
In some cases, you may choose a tooth crown to conceal flaws, including discoloration, chips, or a spacing abnormality.
Tooth crowns also play an essential role in tooth replacement. It is the crown that tops your dental implant after the replacement root has bonded to your jawbone. And it is the crown that anchors your dental bridge to healthy adjoining teeth.
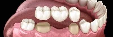
A Fixed Solution to Tooth Loss
A dental bridge is a tooth or teeth resting between dental crowns. The crowns cap healthy teeth, allowing the prosthetic teeth to complete your smile.
In our dental office, crowns and bridges are always shaped and colored to complement your smile.
Tooth Crown and Dental Bridge Care
You can brush your dental crown the same as you brush natural teeth, and flossing is just as simple. However, we do recommend a special cleaning brush and threader to keep your bridge free from bacteria.
Prosthetics and restorations will not prevent gum disease, which is why it’s crucial to visit your dentist regularly for exams and teeth cleanings.
Contact Your Bloomington Cosmetic Dentist to Get Started
Crowns and bridges are cosmetic and play a role in your oral health—restoring your bite and preventing tooth migration. If you would like to learn more or schedule a consultation, reach out to us today.